Dr. Rumit Desai has completed another case of Invisalign clear braces at Belmont Park Dental Care in Lewisham.
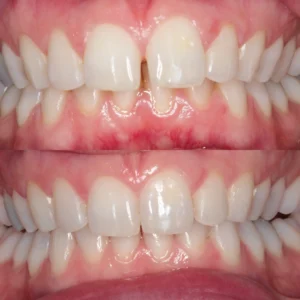
This patient attended complaining of crowding of her upper and lower front teeth. She also did not like it that her teeth were too far forward.
After 8 months of invisalign clear braces and a course of tooth whitening, an excellent result was achieved:

Visit here for patient testimonials and more information or call 0208 297 0053
At Belmont Park Dental Care, we provide Invisalign braces in the Lewisham, Blackheath, Lee, Greenwich and surrounding areas.
Please click here for more information.
Lorem ipsum dolor sit amet, consectetur adipiscing elit. Ut elit tellus, luctus nec ullamcorper mattis, pulvinar dapibus leo.